Ehrlichiosis
Name(s) of illness: Ehrlichiosis, Ehrlichia infection
Caused by: Infection with Ehrlichia bacteria transmitted through a tick bite. There are more than 10 different species of bacteria in the Ehrlichia genus, but only three are known to infect humans in the United States. (There are also E. canis in Venezuela and E. muris in Russia. If you want to see the whole family tree, take a look at this article from NEJM.) According to the CDC, “Ehrlichia chaffeensis and Ehrlichia ewingii are transmitted by the lonestar tick (Amblyomma americanum) in the southeastern and south-central United States.” A third species, Ehrlichia Wisconsin HM543746 (it’s still unnamed), has been discovered in deer ticks (Ixodes scapularis) in Wisconsin and Minnesota. This species is said to be similar to E. muris, and is sometimes referred to as EML for E. muris-like. There is a possibility that Ehrlichia may also be transmitted through blood transfusions (see controversies below).
Symptoms of infection: fever, headache, chills, malaise, muscle pain, nausea / vomiting / diarrhea, confusion, conjunctival injection (red eyes), and rash (in up to 60% of children, less than 30% of adults)
Long-term effects: Patients with untreated or improperly treated infections can develop difficulty breathing and/or bleeding disorders. The estimated fatality rate is 1.8%.
Diagnosis tests:
The CDC cautions:
The diagnosis of ehrlichiosis must be made based on clinical signs and symptoms, and can later be confirmed using specialized confirmatory laboratory tests. Treatment should never be delayed pending the receipt of laboratory test results, or be withheld on the basis of an initial negative laboratory result.
If you have symptoms of Ehrlichiosis, your doctor should start you on antibiotics while you are waiting for test results.
- Routine blood tests: low platelet count (thrombocytopenia), low white blood cell count (leukopenia), or elevated liver enzyme levels can be predictors of ehrlichiosis (but are not present in all infected patients)
- PCR Assay (DNA test)—most sensitive in first week of infection; negative result does not rule out infection
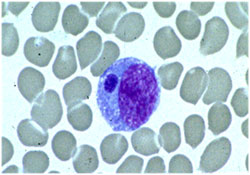
- Peripheral blood smear—not very sensitive; only reveals the organism in 20% of infected patients
- IFA (indirect immunofluorescence assay)—an antibody test; according to the CDC, this works best if done twice, 2-4 weeks apart, to show whether the number of antibodies rises. Antibody tests may be negative during the first 7-10 days of infection.
Treated: orally for 7-10 days with Doxycycline; Adults: 100 mg every 12 hours; Children under 45 kg (100 lbs): 2.2 mg/kg body weight given twice a day.
Diagnosis/treatment controversies: Some patients with an Ehrlichia infection may develop a rash that looks similar to a rash indicating Rocky Mountain Spotted Fever. (Ehrlichia is a cousin to both RMSF and Anaplasma phagocytophilum.)
The CDC also states:
Because Ehrlichia organisms infect the white blood cells and circulate in the blood stream, these pathogens may pose a risk to be transmitted through blood transfusions. Ehrlichia chaffeensis has been shown to survive for more than a week in refrigerated blood.
Like with Babesia, if you’ve had an Ehrlichia infection, it’s probably not a good idea to donate blood.
Many doctors who don’t follow infectious disease research may be unaware of the prevalence of the newly discovered (August 2011) Ehrlichia species in Wisconsin and Minnesota. I don’t think there is an antibody test available for this species of Ehrlichia yet (seeing as how it doesn’t even have a name!). I will update this page when I find out.
Related articles
- Eight things you need to know about Anaplasmosis (thetickthatbitme.com)
- Well, Babs, you’re trickier than I thought (thetickthatbitme.com)
- Parasites in the blood supply, and 7 other things you need to know about Babesia (thetickthatbitme.com)

if you have these symptoms and live in louisiana, have someone refer your infectious disease doc to this site. i was infected last June and the doctors in my home town as well as shreveport like to killed me with levaquin before they realized what i had. Levaquin “poisioning” caused a year-long bout of insomnia, altered mental state, and manic-like behavior..resulting in 10 days additional hospitialization to treat drug-related side effects and several months! off work to recover from drug induced mental changes!! . I now carry doxycycline when i am in tick-infested areas.
tick-borne infections are not common here….i got bitten in TN. Doctors thought I had something like leukemia because of low platelets, low white count, and screwed up liver enzymes, plus high fever.
Charles, sorry to hear what an ordeal you’ve been through! It’s unfortunate that so many doctors are uneducated about how to recognize and treat these infections. Thanks for stopping by!
I live in Costa Rica and was diagnosed with chronic Ehrlichia last year. My 5 year old son also tested positive. At this time, I have a friend who was also diagnosed with Ehrlicia, took 36 days of Doxycycline and and was then retested with another positive result. I am in the process of having myself retested as well due to the fact that I also continue to have symptoms, ie chronic joint pain. What are the long term effects of having this? I have a hard time finding information concerning the long term effect on the internet.
Hi Nicole. Thanks for dropping by! I’m not sure what tests you’ve had for Ehrlichia, but let me tell you what I know about the different tests. The most common test for Ehrlichia is an IFA, which detects whether you’re making antibodies to Ehrlichia. A positive Ehrlichia IFA means either that you have an active infection or that you’ve had an infection in the past. If you are still making IgM antibodies to Ehrlichia, that would suggest that you have an active infection. A tricky thing with IFAs is that even after a patient is successfully treated, the IgG part of the IFA can still be positive for a long time. This is because the body sometimes keeps making IgG antibodies after an infection is gone. In your friend’s case, if she’s been treated properly with Doxycycline twice a day and she feels better, a positive IgG IFA shouldn’t be a concern. Now, sometimes people take Doxycycline incorrectly and it doesn’t work. You have to make sure you’re taking it twice a day, at the same time everyday, and not taking it with food or milk.
There are some other tests for Ehrlichia that you can try if you’re not sure about the accuracy of the IFA. You can get what’s called a smear, where a lab technician looks at your blood under a microscope. Sometimes this can detect Ehrlichia. Another thing that you can do is get a PCR. If you’ve been treated with antibiotics, but the PCR is still positive, that would definitly mean the infection wasn’t treated properly.
As far as your symptoms of joint pain, this is not really a common symptom of Ehrlichia. That’s not to say that Ehrlichia can’t cause joint pain, but joint pain is more commonly caused by other tick-borne diseases like Lyme disease and Borrelia hermsii. If you haven’t been tested for these already, I’d strongly recommend that you get a Western Blot and a Borrelia hermsii IFA. These two tests are commonly available in the U.S. I’m not sure what the testing situation is down in Costa Rica.
On the subject of Costa Rica, there are a lot of infections that are more common in that region than they are here in the U.S. I believe there are some other species of Borrelia besides B. burgdorferi (which causes Lyme) and B. hermsii (which causes relapsing fever) in Central and South America. If you haven’t already, I would ask your doctor to test you for every vector-borne disease that is common in your region, to include tick-borne diseases, but also mosquito-borne diseases like Malaria. Here’s an article abstract that mentions some diseases that are common among animals in Costa Rica. http://www.ncbi.nlm.nih.gov/pubmed?term=borrelia%20costa%20rica
I hope this info helps. Take care.
Thank you for the information. I was diagnosed with erlichiosis and I have severe joint pain. THey said I was negative for Lyme’s but had 5 antibodies of lyme…wth. So guess i WILL GO back to the doctor again. Took 3 bouts of antibiotic the last being doxycycline which helped. Still exhausted and have severe joint pain. Need more information on long term help.
Ehriichiosis is here in Missouri. This is very scarry, high fever, nausea, unable to eat, no energy, loosing weight sounds like a virus, but if it last more than 3 days I suggest blood test to rule it out or save your life one! The test will possibly look like a cancer,treat with Doxcycycline Now! And keep a close eye on your blood test to see how the antibotic is helping!Now that my son was infested I have heard of 3 other cases this year 2013 Aug.Dittmer, Eureka, High Ridge areas. Dont wait for them to try and figure it out get a Infectious Desease doctor!
Yes it is in Missouri,I live in SW Missouri,,,Mount Vernon,,,I tested with a positive IgG for RMSF and an OfF 1:512 for Ehrlichia after 20 days of Doxy,,,still on Doxy,,,brain fog started to lift after about 25 days of Doxy,,,hard finding info,,,I wrote this on 9/20/2013.
I was misdiagnosed for at least 6 months,,,I insisted on testing because my dog almost died of Ehrlichiosis,,,They thought I was crazy,,,they don’t now,,,I live in the country and get at least 50 tick bites a yr,,2012 and 2013 have been the worst years for ticks I have ever seen,,,They where thick and everywhere.
i live in mn.a suburb of st.paul. i was one of the first cases this far north& in mn. i was 1 of like 20 or so reported cases. in 2007, 7 or 8 people died. sometimes i wish i was one of them.i was physically screwed up b-4 getting it (joints,bones,etc). then i went to total shit. i take pain meds that counteract w/ doxycycline & got sick so i just stoped taking it like a dummy. it comes and goes-symptoms like when you 1st get it& it has destroyed my bone marrow ,,joints,imune system to make a long story short. i happen to meet a guy at a garage sale who is in a wheelchair 24/7 & it caused him to try to take his life. what sucks the worst is i love the outdoors, i fear no man nor beast but i am terrified of a tiny bug.kinda funny. the max% of deet & also permetherine is a guys only chance besides long clothes to try to keep them a-holes off you. be especially vigilant of children.i couldnt imagine a child going through this shit! if anyone want to speak about it i can be reached at-blueidedevil@yahoo.com. patrick.
Does Ehrlichiosis come back? I have buttock, hamstring,upper leg joint and outer shin pain that keeps moving around. . Am woken in the night with lower leg pain. Have tried to eliminate causes. By eliminating inflammatoties like alcohol…Sometimes after sitting can hardly walk.
If you are still experiencing symptoms, I would follow up with your doctor and get tested again.
Hi, I have lived in Costa Rica’s southern zone for 2.5 years now and have enjoyed good health the entire time. I was bitten by a tick about a week ago and I have had a dull frontal headache for 3 straight days now. My eyes also feel strange, sort of dull and lethargic, and I also have a mild sore throat. Today the fever started, I don’t know my exact temp, but I feel hot in my head and upper body.I don’t have any joint pain or muscle pain. Any ideas?
C, I would recommend getting tested for as many tickborne infections as you can. If you can get ahold of doxycycline where you are, I would start taking it. Definitely seek medical attention.